Betty Holden's story: "It's become a way of life"
- fursiyah7

- Dec 7, 2021
- 2 min read
Updated: Dec 18, 2021
TRIGGER WARNING: Post-surgery image of knee
Betty Holden is a Trochlear dysplasia sufferer who had been experiencing dislocations and subluxations in both knees since she was 7 years old. She is the creator of the Knee Trochlear dysplasia Facebook group which was my first point of contact when speaking to other women with Trochlear dysplasia. She would describe living with Trochlear dysplasia as "distressing and hard" and believes the severity of it could've been minimised if only she was diagnosed at an earlier age.
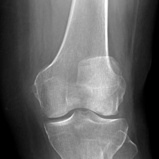
Betty had visited the doctors several times in the past 50 years and has only just been diagnosed this year. Here is a copy of her X-ray scans showing her shallow trochlear groove and dislocation of the patella:
Betty's x-ray scans showing her Trochlear dysplasia | Photos by Betty Holden
"Had this been diagnosed back when I was a teenager, then they could've fixed it completely"
- Betty Holden

Betty first injured her knee when she was 7 years old and in second grade at school. She was playing hopscotch with friends and had landed on her knee and fell to the ground in excruciating pain. Betty wasn't aware that her injuries were really dislocations until after being diagnosed. After this, she and her mother began to investigate what was wrong. The investigation was ongoing for 50 years whilst she would still experience recurrent dislocations and subluxations.
At 57 years old, Betty was finally told she had Trochlear dysplasia after seeing countless surgeons. She was in shock that it was not detected firsthand even after having surgery on her right knee for other medical reasons. Her first reaction to being diagnosed was bittersweet,
experiencing relief and sadness at the same time.
Watch as she shares her story and talks about her struggles endured along the way:









Comments